금관(CROWN)수복이란 이를 씌운다고 흔히 말하는 치료방법입니다.
충치가 심해서 치아가 없어지거나 부서진 경우,
신경치료후 보철치료 : 신경 치료후엔 남아있는 치질은 약해지게 되고, 치아는
건조하게 되어 보철치료(Crown)를 받는 것이 바람직합니다.
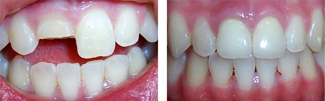
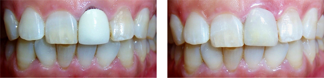
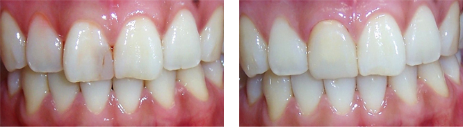
#8, 9 Lava Crown (A2)

| Before | After |
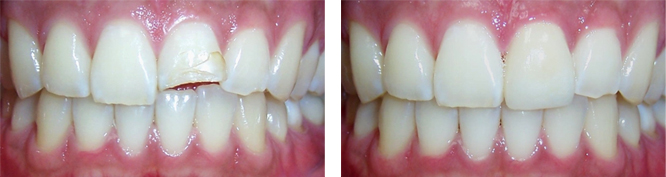
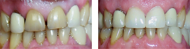
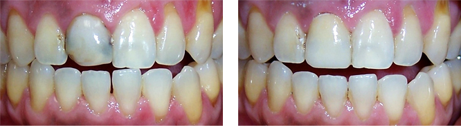
#9 IPS e-Max Crown(A3)

| Before | After |
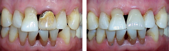
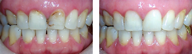
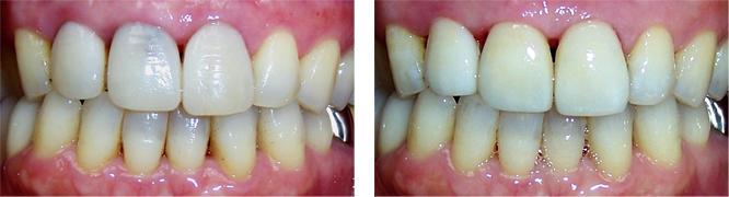
#9 Crown

| Before | After |
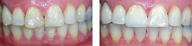
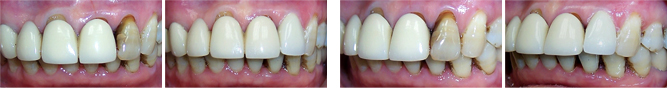
#8, #9 Lava Crowns(A2)

| Before | After | Before | After |
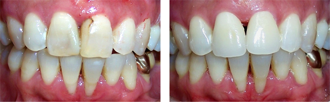
#9 PFM Crown (A3)

| Before | After | Before | After |
#8 & #9 IPS e.Max Crowns(A2)

| Before | After | Before | After |
#9 IPS e-Max Crown(A2)

| Before | After | Before | After |
#8 IPS e-max Crown(A2)

| Before | After | Before | After |
#8 IPS e-Max Crown (A2)

| Before | After | Before | After |
#8 IPS e-max crown (A2/A3)

| Before | After | Before | After |
#7,8,9 라미네이트(Veneer)

| Before | After | Before | After |
#10 LAVA Crown(A2)

| Before | After | Before | After |
#10 IPS e-max crown (A2)

| Before | After | Before | After |
Columbia Dental Group
18920 Bothell Way NE #202