교정치과 Orthodontics

어떠한 경우에 교정(Orthodontic treatment)을 해야하나.

치과교정은 치아의 배열 및 안모의 이상에 대해 진단과 예방 그리고 치료분야에 전문성을 가지는 치과의학의 한 분야입니다.

치아의 맞물림이 조화롭지 않거나 외모상의 문제등 치아아 연관된 얼굴부위의 어떠한 부조화와도 관련이 있으며 교정을 통해서 조화롭고 건강한 얼굴과 치열을 가질 수 있도록 도와드립니다.

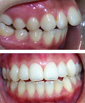
다음은 환자 및 보호자가 가늠할 수 있는 교정치료가 필요한 몇 가지 경우입니다.

  • 치아사이에 공간이 부족한 경우
  • 삐뚤삐뚤하거나 겹쳐서 난 치아
  • 아래 앞니가 윗 앞니 앞쪽으로 물리는 반대교합 (Cross Bite)
  • 유치가 제때에 빠지지 않은 경우
  • 아래-윗니의 중앙이 일치하지 않는 경우
  • 치아사이에 공간이 많은 경우
  • 앞니만 닿고 어금니들이 물리지 않는 경우 혹은 그 반대의 경우
  • 안모가 이상해 보이는 경우(주걱턱, 뻐드렁니, 입술의 돌출)
  • 윗 앞니가 튀어나온 경우
  • 치아가 잘 닿지를 않아서 음식물을 씹기에 곤란한 경우
  • 아래 앞니가 윗 앞니에 가려 안보이는 경우
  • 벌리거나 다물 때 악관절에서 소리가 나거나 통증이 있는 경우

부정교합을 일으킬 수 있는 환경적 요인

  • 손가락 빠는 습관
    손가락 빨기가 장기간 지속되면 심각한 부정교합을 야기할 수 있으며, 부정교합의 심한 정도는 강도의 세기보다는 지속시간에 더 큰 영향을 받습니다. 따라서, 이러한 습관은 조기에 개선되는 것이 바람직합니다. 손가락 빨기에 의해 야기되는 부정교합의 양상은 윗 앞니의 전돌 및 개방교합입니다. 즉 윗 앞니는 앞으로 뻗어지는 힘을 받게 되고 아래 앞니는 안으로 기울어지는 힘을 받게 되며, 위 아래 앞니 사이는 닿지 않고 벌어지는 개방교합 상태가 됩니다.
  • 머리, 하악, 혀의 자세
    머리, 하악, 혀의 자세는 치아의 위치에 영향을 미칠 수 있습니다. 호흡형태를 예로 들 수 있는데, 구호흡을 할 시에는 악골, 혀, 머리의 위치에 변화를 주어 악골 성장 및 치아 위치에 영향을 미칠 수 있습니다.
  • 치아 맹출에 미치는 여러가지 영향 및 발육장애
    선척적인 치아결손, 기형치와 과잉치, 맹출장애, 유치의 조기상실 등이 있으며, 만일 유치가 상실되면 상실된 공간으로 치아가 이동되고 치열궁의 형태가 수축되어 공간이 줄어들기 마련입니다.
  • 외상
    치아의 외상, 악골의 외상으로 인한 골절. 이상과 같은 요인들이 부정교합을 후천적으로 유도할 수 있습니다.

언제 교정을 해야하나

적절한 시기란 여러분이 교정치료를 받기로 결정하는 바로 그 순간입니다.
물론 때로는 원하셔도 기다려보는 경우도 있습니다. 3-5세경 매우 어린 나이에는 아이의 협조도에 따라서 상의를 하게 됩니다.
성장기에 교정치료를 받는다면 단순한 치아배열의 교정뿐 아니라 악골(턱뼈)과 안면골의 정형적 치료가 가능하므로 보다 양호한 결과를 얻을 수도 있습니다.
전체적으로 고정성 교정장치를 부착하여 치료하는 시기는 대개 모든 영구치가 맹출한 12-13세 이후 입니다.
현재 교정환자의 25%가 성인으로서 연령과 교정치료의 성공여부와는 큰 관련성이 없습니다.
성인의 경우 대개 안모의 개선이나 치열의 건강증진을 위해 교정의사를 방문하게 되는데 교정치료에서 늦은 나이란 없습니다.

교정치료를 위한 기간

대개 교정치료는 18-30개월쯤 걸립니다.
물론 환자개인의 상태에 따라 치료기간은 매우 다양합니다.
같은 치료기간이 예상되는 경우 치료 약속을 잘 지키고 청결한 구강상태를 유지하며 장치를 잘 장착하는 경우 치료기간은 단축될 수 있습니다.
교정치료는 치아가 이동하는 생물학적 반응을 이용하는 치료로써 그러한 기간을 고려하여 대개 4-6주 간격으로 내원하게 됩니다.
젖니가 빠지고 영구치가 나오는 것을 기다리면서 공간을 배분하고 적절한 치료시기를 기다리는 동안에는 3-6개월에 한 번 정도 내원하셔도 됩니다.

교정이 필요한 경우(부정교합)를 방치하게 되면 어떻게 되나

부정교합은 단순히 미관상으로 보기 흉하다는 문제는 물론 이로인해 구강건강과 전신건강에 대단히 나쁜 영향을 끼치는 질환입니다.
부정교합의 선천적 원인으로 유전인자에 의해 뻐드렁니가 되거나 주걱턱이 되는 경우가 있습니다.
대부분의 경우가 후천적 원인인데 대표적으로는 아기때의 손가락 빠는 습관이 지속되거나 덧니 또는 사고에 의한 경우가 있을 수 있습니다.
실제로 부정교합은 모든 구강질환의 원인이 될 뿐만 아니라 특히 심리적 및 신체 건강에 까지 영향을 미치는 질환이기 때문에 반드시 치료가 필요합니다.
치아가 삐뚤어지면 얼굴이 삐뚤어진 것처럼 보이게 되고 남 앞에 서기를 꺼리며, 웃을 때와 말을 할 때 손으로 가리는 등 심리적으로 위축되고 심하면 성격장애를 가져올 수 있습니다.
또한 정확한 발음을 하기가 어려워 사회성에 나쁜 영향을 줍니다. 특히 성장기의 어린이들에게는 매우 큰 영향을 끼칠 수 있다는 것을 놓쳐서는 안됩니다.

남들의 눈에 띄지 않도록 교정을 하는 방법

과거에는 교정치료가 어린아이들과 청소년을 대상으로 하는 것으로 많이 알려져 있었지만 요즈음에는 사회적 활동이 활발한 성인층에서도 교정치료를 받기 원하는 환자의 수가 급속하게 늘고 있습니다.
누가 보아도 예쁘고 상큼한 미소를 지을 수 있다면 그 사람의 첫인상은 무척 매력적으로 느껴질 것입니다.
자신있는 웃음은 상대방에게 밝은 느낌을 주게 마련이기 때문입니다.
그러나 사회생활을 많이 하는 성인의 경우 겉으로 들어나는 장치에 대한 부담감 때문에 교정치료를 주저하게 됩니다.
겉으로 보이지 않게 하는 교정방법이 크게 두가지가 있습니다.
하나는 치아의 안쪽에 장치를 부착시키는 설측교정법이고 다른 한 가지 방법은 투명교정법입니다.

설측교정법은 일반적인 교정장치의 경우 장치를 치아 바깥쪽에 부착해서 상대방에게는 거부감을, 환자 자신에게는 정신적인 스트레스를 주었지만, 설측교정장치는 앞에서는 전혀 보이지 않기 때문에 다른 사람들이 모르는 사이에 치열을 바르게하고 얼굴 모양을 아름답게 할 수 있습니다.

투명교정법(Invisalign)은 기존의 교정장치처럼 치아에 교정장치를 부착하지 않고 치아 본을 뜨고 모형을 만들어서 모형상에서 치아를 움직이고 그 상태로 투명교정틀을 만들어 입안에 장착합니다.
이런 투명틀을 2-3주에 한 번씩 바꾸어 가면서 교정하는 방법입니다.
하지만 이 두가지 방법을 항상 모든 환자에게 적용할 수 있는 것은 아니고, 각 방법이 가장 효과적으로 이용될 수 있는 경우가 있으므로 전문의와 세밀한 상의가 필요합니다.

교정후 유지장치(Retainer)를 끼는 이유

장기간의 교정치료후에 개선된 바른 치열을 계속 유지하기 위해서는 치아 주위 조직이 적응될 때 까지 유지기간이 필요합니다.
충분한 유지기간을 가져야만 치아가 치료전 상태로 돌아가려는 경향을 최소화시킬 수 있습니다. 이때 사용하는 장치를 "유지장치(Retainer)"라고 합니다.

425-481-0509
FAX 425-481-0569
Mon - Sat : 09:00 AM - 06:00 PM
thurs. closed

Columbia Dental Group

18920 Bothell Way NE #202
Bothell, WA 98011
(Kaufman Building 2FLR)