보통의 교정치료는 치아의 표면에 교정용 브라켓을 붙여서 치아를 이동시키지만, 투명교정은 이러한 교정장치 없이 그림에서 보이는 투명한 아크릴릭 장치를 윗니와 아랫니에 각각 끼웠다 빼었다 하면서 치아를 교정하는 치료법입니다.
치아의 모형을 만든 후 치아 각각을 잘라서 조금씩 이동한 후 투명교정틀을 만들고 다시 이동시킨 후, 새로운 투명교정틀을 만드는 방법을 반복하여 올바른 위치로 치아가 이동할 때까지 여러개의 틀을 만듭니다.
보통 한 개의 틀을 2주일 정도 끼게 되며 그 후에 새로운 틀을 끼게 됩니다.
최근에는 CAD/CAM을 이용하여 컴퓨터 상에서 이 틀을 보다 정밀하게 제작하는데 미국에서는 이것을 INVISALIGN이라고 부릅니다.
투명교정은 모든 증례에 가능한 것은 아니고 치아가 조금 비뚤어졌거나, 치아사이에 틈이 있는 경우에 매우 쉽고 효과적으로 치료할수 있습니다.
만일 치아의 비뚤어짐이 심해서 발치를 하고 교정치료를 해야만 하는 경우에는 투명교정으로 하기 어렵습니다.
투명교정의 장점:
설측교정의 경우 교정장치가 보이지 않는다는 장점에도 불구하고, 발음의 불편함, 잇몸의 자극과 염증이 생길수 있다는 단점이 있습니다. 하지만 invisalign은 보이지 않는다는 심미적인 장점뿐만 아니라, 끼고 빼는 것이 자유로우며, 치아를 미세한 양으로 움직이기 때문에 통증이 적고, 두께가 0.7mm로 아주 얇기 때문에 처음부터 발음의 어려움이 없다는 장점이 있습니다. 또한 아무런 장치를 치아에 부착하지 않기 때문에 칫솔질을 매우 깨끗하게 할수 있고 따라서 교정치료중에 잇몸 질환의 원인이 되는 플라그가 끼지 않으므로 잇몸이 좋지 않은 환자에게도 좋은 교정치료법입니다.
투명교정의 단점:
심한 부정 교합의 치료에는 한계가 있다는 것과 비용이 비교적 고가라는 것이며 공간이 부족하여 발치를 해야 하는 경우나 턱교정 수술을 동반해야 되는 경우, 위 아래 앞니가 서로 닿지 않는 경우, 너무 어려 자발적 협조가 되지 않는 소아 등에는 사용할 수 없습니다. 단순히 치아가 벌어져 있거나 공간 부족 없이 치열이 불규칙할 경우, 교정 치료 후 재발한 경우 등에 아주 효과적입니다.
교정치료는 단순히 고른 치아배열을 위한 미용상의 문제뿐 아니라 윗니와 아랫니가 잘 맞아야하는 교합문제도 똑같이 중요하다.
전통적인 방법인 메탈 브라켓 (Stainless-steel braces, 사진의 뒤쪽 흑백 얼굴)과
인비절라인 (Invisalign 앞쪽 컬러) 착용 모습.
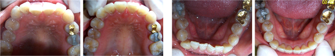
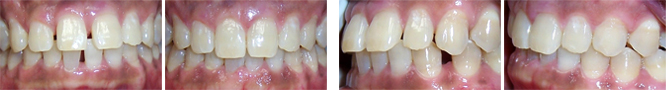
Upper(10month)/Lower(10months)

| Before | After | Before | After |
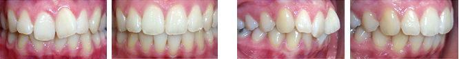
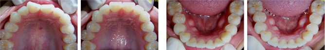
Upper(10month)/Lower(10months)

| Before | After | Before | After |
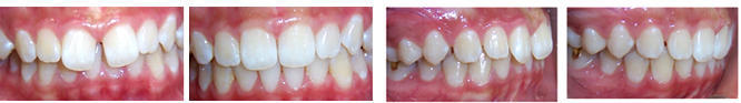
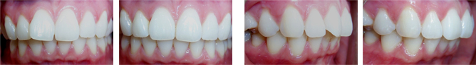
Upper(10months)/Lower(14month)

| Before | After | Before | After |
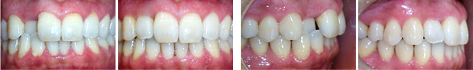
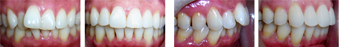
Upper(10month)/Lower(14months)

| Before | After | Before | After |
Upper(9months)/Lower(8months)

| Before | After | Before | After |
Upper(6months)/Lower(5months)

| Before | After | Before | After |
Upper(10months)/Lower(9months)

| Before | After | Before | After |
Upper(9months)/Lower(9months)

| Before | After | Before | After |
Upper(9month)/Lower(5month)

| Before | After | Before | After |
Upper(12month)/Lower(6months)

| Before | After | Before | After |
Upper(8month)/Lower(13months)

| Before | After | Before | After |
Upper(8month)/Lower(13months)

| Before | After | Before | After |
Columbia Dental Group
18920 Bothell Way NE #202