계속가공의치 (BRIDGE) 란 무엇인가요?
브릿지란 일종의 의치로써 양 옆의 치아를 의지해서 인공치아를 해넣는 방법입니다.
치아가 빠지고 치료를 하지 않으시면
- 인접치아와 대합치가 상실된 치아의 공간으로 이동하게 됩니다. 따라서, 잔존하는 치아사이에 틈이 벌어지고 음식물이나 플라그의 침착으로 치주질환과 치아우식 발생의 위험이 커지게 되어 한 두 개의 치아상실로도 전체 저작계의 불안정성이 발생됩니다.
- 장기간 방치시 치아의 심한 이동으로 수복이 어려워지고 치료의 범위와 진료비가 증가되게 됩니다. 즉 심하게 쓰러진 경우엔 보철치료를 하시게되면 삭제해야 할 치아의 양이 너무 많게됩니다.
따라서 반드시 신경치료를 해야 하며 치관 부위와 아래의 뿌리의 방향이 다르므로 치아에 수직적인 힘이 아니라 비스듬한 힘이 가해집니다. 이러한 힘은 치아를 오래가지 못하게 하며 기울어진 상태는 여전하므로 치아주위의 치조골의 파괴는 계속됩니다,
이렇게 되면 장기적으론 3개의 보철물이 5개가 되고 틀니까지 진행될 수 있습니다.
- 치아이동으로 인해 교합간섭이 발생되고 턱관절 질환이 발생, 악화될 수 있습니다.
안면조직의 함몰등 외모의 변화가 발생할 수 있습니다.

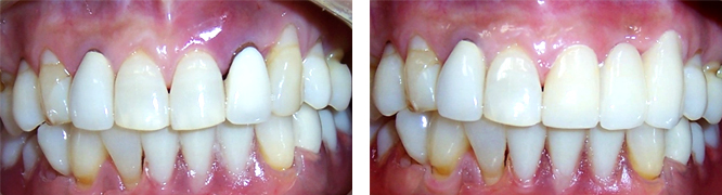
#9-#11 IPS e-max Bridge (A2)

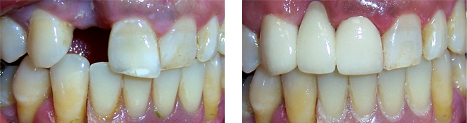
#6-#8 Lava 3-unit Bridge(A2)

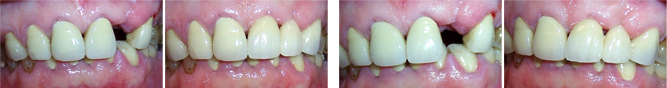
#7-#9 3-unit Lava Bridge(A3)

| Before |
After |
|
Before |
After |
|
#9-#11 3-unit Bridge(A2)

| Before |
After |
|
Before |
After |
|
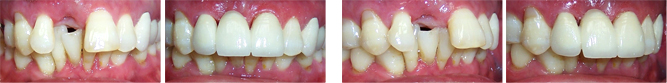
#6-#8 3-unit Bridge (A2/A3)

| Before |
After |
|
Before |
After |
|
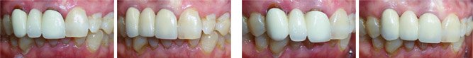
#7-#9 Lava 3-unit Bridge

| Before |
After |
|
Before |
After |
|